四ツ谷で矯正を始めるメリット
矯正歯科治療は、歯並びや噛み合わせを改善する治療です。
見た目の改善だけでなく、咀嚼(そしゃく)効率・発音・清掃性の向上による虫歯・歯周病予防など、多方面で効果が期待できます。
四ツ谷エリアで「歯並びが気になる」「きれいな笑顔を手に入れたい」という方に選ばれています。

歯並びや咬み合わせが悪いことを不正咬合と言います。歯並びが悪いとコンプレックスになることもあるでしょう。矯正治療は、子供の時の方が歯が動きやすいですが、成人でも歯の位置が決まっているため、しっかりと予定を立てて矯正治療を行えるというメリットもあります。矯正治療中は、若干不自由なこともありますが、一定期間治療を行えば、一生素敵な歯並びを得られます。
矯正治療を行うメリット
歯並びが改善されます
歯並びが良くなり見た目が大変良くなります。外見だけのメリットではなく、凹凸が減り、歯みがきがしやすくなることで、虫歯や歯周病リスクを低くすることができます。
咬み合わせが良くなります
咬み合わせが悪いことは、本来あるべき位置から顎の骨がずれていることです。矯正を行うことで、顎が正しい位置に動き、頭蓋骨と顔全体のバランスが取れるようになります。物がうまく噛めるようになり、顎の成長にも良い影響を与えます。
顔のラインの変化
顔を真横から見た時、鼻と顎の先端をつないだラインがエステティックラインと言います。唇の先がエステティックライン上かやや内側に来るのが望ましいのですが、矯正を行うことで、顔のラインにも変化が出ます。
小児矯正(子ども矯正)
成長期の歯並び改善に効果的です。乳歯から永久歯混合期の歯並びの治療を行います。
顎の成長を促す装置などを使い、将来の不正咬合リスクを軽減します。
成人矯正(大人の矯正)
成人の方でも矯正治療は可能です。子どもの矯正治療は、成長過程の歯の動きを利用するため、矯正しやすいですが、成人は、逆に顎の成長はありませんので、その分、治療計画を立てやすいというメリットがあります。ワイヤー矯正やマウスピース矯正と言った矯正装置を用いて治療を行っていきます。
- ビジネスの場面で好印象を与えられます
- 1歯からでも矯正治療は可能です
- 結婚式等の晴れの舞台で素敵な歯並びを残したい
- 一生自分の歯で食事ができるように歯並びを整えて、ケアしやすく
矯正装置について
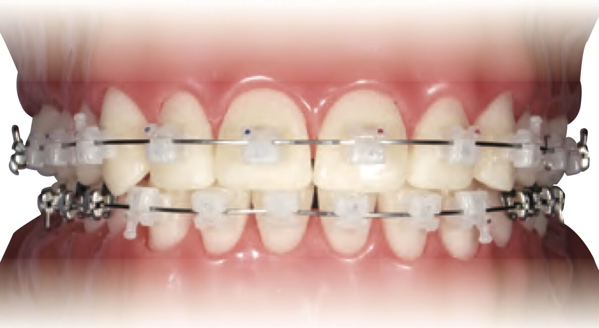
ワイヤー矯正

ワイヤー矯正は、歯の表面に「ブラケット」と呼ばれる装置を装着し、そこにワイヤーを通して歯を少しずつ動かしていく矯正治療です。長年の実績があり、幅広い症例に対応できるスタンダードな矯正方法です。
ブラケットにより、①メタルブラケット、②ハーフセラミックブラケット、③セラミックブラケットの3種類をご用意しています。



使用のブラケットについて
麹町歯科・矯正歯科では、ジニアスブラケット(セルフライゲーションブラケット)を使用します。
ワイヤーとブラケットの摩擦を抑えた設計で、穏やかな力で治療を進めやすい傾向があります。
丸みを帯びた形状で違和感やお痛みが出にくく、歯の移動が速い傾向があります。
ワイヤー矯正の仕組み
ワイヤーには元の形に戻ろうとする力があり、その力を利用して歯を理想の位置へ移動させます。
定期的にワイヤーを調整することで、計画的に歯並びを整えていきます。
歯は急に動くわけではなく、骨の代謝(リモデリング)を利用して少しずつ安全に移動します。
ワイヤー矯正のメリット
・ほとんどの歯並びに対応可能
・細かな歯の移動ができる
・重度の不正咬合にも対応できる
・治療の安定性が高い
マウスピース矯正では難しい症例にも対応できる点が大きな強みです。
ワイヤー矯正のデメリット
・装置が目立つ場合がある
・歯磨きが難しくなる
・調整後に痛みが出ることがある
当院ではブラッシング指導や定期クリーニングを行い、虫歯や歯周病の予防にも配慮しています。
ワイヤー矯正が向いている方
・歯並びの乱れが大きい方
・噛み合わせをしっかり改善したい方
・確実性を重視する方
・マウスピース矯正が適応外と診断された方
治療期間の目安
一般的に1年半〜2年半程度が目安です。
歯並びの状態や抜歯の有無によって異なります。
矯正中の通院頻度
通常は月に1回程度の調整が必要です。
定期的なチェックと調整が、治療成功の鍵となります。
マウスピース型矯正装置(インビザライン)

インビザラインは、透明なマウスピース型装置を使用して歯並びを整える矯正治療です。
装置が目立ちにくく、取り外しが可能な点が大きな特徴です。
四ツ谷で「目立たない矯正をしたい」「仕事に支障を出したくない」という方に多く選ばれています。
マウスピース型矯正装置(インビザライン)の仕組み
インビザラインでは、3Dデジタルシミュレーションを用いて歯の動きを事前に設計します。
その治療計画に基づいて複数枚のマウスピース(アライナー)を作製し、1〜2週間ごとに交換しながら少しずつ歯を動かします。
段階的に力をかけるため、ワイヤー矯正に比べて痛みが軽減されやすい傾向があります。
マウスピース型矯正装置(インビザライン)のメリット
・透明で目立ちにくい
・取り外し可能で衛生的
・食事制限がほとんどない
・金属を使用しない
・通院回数が比較的少ない
営業職や接客業の方、大人の矯正歯科治療として人気があります。
マウスピース型矯正装置(インビザライン)のデメリット
・装着時間(1日20〜22時間)が必要
・自己管理が重要
・重度の症例では適応外の場合がある
・装着を怠ると治療が予定通り進まない
適切な装着管理が成功の鍵となります。
治療期間の目安
軽度の歯並び改善であれば半年〜1年程度、
全体矯正では1〜3年程度が目安です。
歯並びの状態によって個人差があります。ワイヤー矯正に比べて時間がかかる場合があります。
マウスピース型矯正装置(インビザライン)が向いている方
・目立たない矯正を希望する方
・取り外し可能な装置を希望する方
・軽度〜中等度の歯列不正の方
・金属アレルギーが心配な方
ワイヤー矯正との違い
ワイヤー矯正は幅広い症例に対応可能で細かな調整に優れています。
インビザラインは見た目と快適性に優れています。
四ツ谷で矯正歯科をご検討中の方には、精密検査を行ったうえで最適な治療方法をご提案いたします。
マウスピース型矯正装置(インビザライン)のご選択の際の注意点
①マウスピース型矯正装置(インビザライン)は医薬品医療機器等法(薬機法)の承認を受けてない未承認医薬品です。
②マウスピース型矯正装置(インビザライン)は、米国アライン・テクノロジー社の製品であり、インビザライン・ジャパン株式会社を介して入手しています。
③国内にもマウスピース型矯正装置として医薬品医療機器等法(薬機法)の承認を受けているものは複数存在します。
④マウスピース型矯正装置(インビザライン)は、1997年FDA(米国食品医薬品局)により医療機器として認証を受けています。
⑤マウスピース型矯正装置(インビザライン)は、完成物薬機法対象外の矯正装置であり、承認薬品を対象とする医薬品副作用被害救済制度の対象外となる場合があります。
部分矯正
部分的に歯並びを整えたい場合の矯正です。
全体的な矯正ではなく、気になる部位だけを効率的に改善します。
歯並びの状況により、使用する装置のお見積りを提示させていただきます。
矯正治療の流れ(金額は税込みです)
矯正治療における一般的な治療期間は約24~30か月、通院回数は約24~30回となっております。
STEP1 カウンセリング

患者様のお悩みをじっくり伺い、お悩みやご希望に合った矯正治療方法をご提案します。
STEP2 精密検査(検査費用¥48,400)

パノラマレントゲン、CT撮影、セファロレントゲン、口腔内及び頭部写真撮影を行います。
STEP3 治療装置の選定・契約

検査結果を元に、治療計画(期間(永久歯の場合2~3年)、矯正装置の選択(永久歯の場合¥1,064,800~¥1,609,300))を提案いたします。患者様にて内容をご検討いただき、ご希望があれば契約いたします。
STEP4 治療開始

選択された矯正装置についての準備(型取りなど)を行います。準備が整い次第、装置を装着します。
STEP5 定期検診(調整料¥6,600)

3週間~1ヵ月に一度、歯の動き具合をチェックし、クリーニングを行います。定期検診は、永久歯の場合20~40回ご来院が必要です。
STEP6 保定治療

歯が正しい位置に動いた後は、装置を外します。歯並びを固定させる為、別の保定装置(リテーナー)を装着します。リテーナー費用は、矯正費用に含まれています。
矯正治療Q&A
Q 矯正治療は痛いですか?
A 装置を装着した直後やワイヤー調整後に、歯が押されるような違和感や軽い痛みを感じることがあります。通常は2〜3日ほどで落ち着きます。マウスピース矯正の場合は比較的痛みが少ない傾向があります。強い痛みが出た場合は調整可能ですのでご安心ください。
Q 矯正期間はどのくらいかかりますか?
A 歯並びの状態や治療方法によって異なりますが、全体矯正では1〜3年程度が目安です。部分矯正の場合は数か月〜1年程度で終了することもあります。精密検査後に具体的な治療期間をご説明します。
Q 矯正中でも食事は普通にできますか?
A 可能ですが、装置の種類によって注意点があります。ワイヤー矯正では硬い食べ物や粘着性のある食品は避けた方が安心です。マウスピース矯正は取り外しが可能なため、食事の制限はほとんどありません。
Q マウスピース矯正とワイヤー矯正はどちらが良いですか?
A それぞれにメリットがあります。マウスピース矯正は目立ちにくく取り外しが可能ですが、症例によってはワイヤー矯正の方が適している場合があります。精密検査を行い、歯並びや噛み合わせの状態に合わせて最適な治療法をご提案いたします。
Q 矯正中に虫歯になりやすいですか?
A 装置の周りに汚れが溜まりやすくなるため、丁寧な歯磨きが重要です。ブラッシング指導や定期的なクリーニングを行い、虫歯や歯周病を予防しながら矯正治療を進めます。
Q 子どもの矯正はいつから始めるのが良いですか?
A 顎の成長が活発な時期に開始することで、将来的な歯並びの問題を軽減できる場合があります。開始時期はお子さまの成長段階や歯並びの状態によって異なりますので、早めの相談がおすすめです。
Q 大人になってからでも矯正はできますか?
A はい、可能です。近年は大人の矯正治療を受ける方が増えています。年齢による制限はほとんどありませんが、歯周病などの問題がある場合は先に治療を行ってから矯正を開始します。
Q 矯正治療後に後戻りはしますか?
A 歯は元の位置に戻ろうとする性質があります。そのため、治療後は保定装置(リテーナー)を2年程度装着し、歯並びを安定させます。指示通りに使用することで後戻りを防ぎやすくなります。
Q 矯正治療は保険適用になりますか?
A 自費診療となります。
Q 矯正相談だけでも可能ですか?
A はい、可能です。歯並びのお悩みや治療期間、費用について丁寧にご説明いたします。無料相談を行っておりますので、ご予約下さい。
矯正料金
- 初診相談料
- 無料
- 精密検査
- ¥48,400
- 小児矯正
- ¥411,400
- 成人矯正(メタルブラケット)
- ¥1,064,800
- 成人矯正(ハーフセラミックブラケット)
- ¥1,210,000
- 成人矯正(セラミックブラケット)
- ¥1,270,500
- 成人矯正(マウスピース矯正)
- ¥1,210,000
- 調整料(毎回)
- ¥6,600
- 矯正適宜抜歯(1歯)
- ¥36,300
- 部分矯正
- 使用する装置により変動
※税込価格
小児矯正から成人矯正に治療を継続する場合は、成人矯正代金より小児矯正代金を差し引かせていただきます。








